l

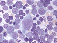
Acute erythroid leukemia - 3.

Acute erythroid leukemia - 3.
#00001026
Author: Peter Maslak
Category: Myeloid Neoplasms and acute leukemia (WHO 2016) > Acute Myeloid Leukemia > AML not otherwise specified > Acute erythroid leukemia
Published Date: 03/01/2010

In addition to the pronormoblasts, smaller myeloblasts are also noted.