l

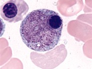
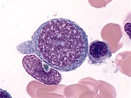
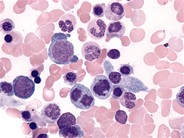
Hypocellular MDS - 4.

Hypocellular MDS - 4.
#00002570
Author: Peter Maslak
Category: Myeloid Neoplasms and acute leukemia (WHO 2016) > Myelodysplastic Syndromes (MDS) > MDS with single lineage dysplasia
Published Date: 05/19/2004

Dysplastic changes are evident in the few scattered hematopoietic cells.