l

Pleural Fluid Mast Cells - 2.

Pleural Fluid Mast Cells - 2.
#00003079
Author: John Lazarchick
Category: Laboratory Hematology > Body fluids:  abnormal cells and microorganisms with cross-references to specific diagnoses when appropriate > Metastatic tumor cells in body fluids  
Published Date: 04/20/2005

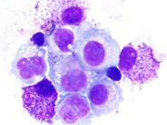
This is a view of a representative group cells noted throughout the specimen. The vast majority of cells have the characteristics of reactive mesothelial cells with basophilic cytoplasm and benign-appearing nuclei. Distinct nucleoli can be seen in many of these cells. In addition, there are scattered lymphocytes and mast cells present.