l

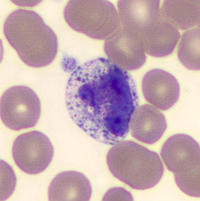
Basophil with washed out granules

Basophil with washed out granules
#00060505
Author: Teresa Scordino
Category: Morphologic variants of normal cells > Morphologic variants of white blood cells
Published Date: 02/23/2016

Basophils have segmented nuclei that are often at least partially obscured by abundant coarse, dark blue to purple cytoplasmic granules.  Basophil granules are water soluble, and may wash out during staining, as seen in this image.  Basophils normally circulate in low numbers.  Basophilia may be seen in inflammatory and allergic conditions, hypothyroidism, and myeloproliferative neoplasms.