l

Bone marrow necrosis in de novo AML

Bone marrow necrosis in de novo AML
#00060585
Author: Michael Daskalakis; Marcelo Caballero
Category: Myeloid Neoplasms and acute leukemia (WHO 2016) > Acute Myeloid Leukemia > AML not otherwise specified
Published Date: 05/08/2016

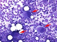
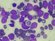
A 49-year-old man was admitted due to fever, arthralgia, and diarrhea of unknown origin. He had received highly active antiretroviral therapy treatment since 2006, with HIV-RNA being undetectable. Hemogram revealed macrocytic anemia (hemoglobin, 10.5 g/dL; mean corpuscular volume, 101 fL), leukopenia (2.4 G/L; lymphocytes, 2.2 G/L; neutrophils, 0.14 G/L; monocytes, 0.04 G/L; eosinophils, 0.01 G/L; basophils, 0.0 G/L), and normal platelet count (161 G/L). Bone marrow aspirate (panels A and B) and trephine biopsy (kindly provided by Yara Banz, MD, PhD, Institute of Pathology, University of Bern; panels C and D) showed extensive bone marrow necrosis of ∼90% (asterisk in panel C; original magnification ×5; hematoxylin and eosin [H&E] staining) with no inflammatory infiltrations or granulomatous reaction. Bone marrow aspirate images (May-Grünwald-Giemsa [MGG] staining; original magnification ×5 [panel A], ×63 [panel B]) were obtained with a Zeiss Axioskop 50 microscope, a Sony Exmor Full HD 3CMOS PMW 10 MD medical camera, Corel PaintShop Pro X4 software (Version 14.2.0.1), and MGG stain. The following were used to obtain bone marrow biopsy images: a Zeiss Axioplan 2 microscope; a Zeiss Axiocam HR camera; AxioVision 40 software (Version 4.8.2); and H&E, Periodic acid–Schiff (PAS), Giemsa, and reticulin stains. For immunohistochemistry, the following were used: myeloperoxidase (MPO), CD33, CD15, CD34, c-kit (CD117), lysozyme, CD68, CD56, terminal deoxynucleotidyltransferase, CD20, CD79a, Pax5, CD3, CD4, CD7, CD10. Flow cytometry (positive staining: CD38, MPO, CD33, CD4, CD15 and partially CD64, lysozyme, CD11b, HLA-DR) and immunohistochemistry (positive staining: MPO, CD33, CD15, lysozyme, HLA-DR, partially c-kit, weakly CD4, partially CD68) revealed an acute myeloid leukemia (AML), most likely of type M4 according to French-American-British (panel C, white arrow labeling blasts; panel D, MPO staining of blasts, original magnification ×40) and AML not otherwise specified (World Health Organization 2008) classifications, respectively. No microorganisms or fungi were observed in extensive special stains (PAS, Grocott, Giemsa, Gram, and Ziehl-Neelsen).Despite empiric antibiotic treatment, the patient developed septicemia and died due to multiorgan failure.