l

Acute basophilic leukemia

Acute basophilic leukemia
#00060598
Author: Marion Eveillard; Alexandre Desjonqueres
Category: Myeloid Neoplasms and acute leukemia (WHO 2016) > Acute Myeloid Leukemia > AML not otherwise specified > Acute basophilic leukemia
Published Date: 05/08/2016

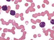
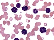
A 74-year-old woman consulted for asthenia that developed in the last few months. She had a history of acute myeloblastic leukemia (FAB/M6), which was treated 10 years ago and has been in complete remission since that time. She had no splenomegaly or lymphadenopathy, and performans status was 1. At diagnosis, blood tests showed a hemoglobin level of 9.3 g/dL, 143 × 10 9/L platelets, 3.22 × 10 9/L leukocytes, with 1.19 × 10 9/L neutrophils, 1.67 × 10 9/L lymphocytes, 0.060 × 10 9/L monocytes, 0.16 × 10 9/L basophils, and 4% blasts. Bone marrow aspiration showed 37% blasts and 27% basophils (panel A). The blasts often had basophil-like dark coarse granules, and basophils had characteristic confluent vacuoles merged with the cell membrane suggestive of degranulation (panel B). Blasts were toluidine blue metachromatic but myeloperoxidase −. Their immunophenotype was CD34 +, CD117 +, CD33 +, CD13 +, CD25 −/+, CD123 +. Blood tryptase was normal at 11.3 µg/L, and histamine was highly increased at 20 ng/mL. Conventional cytogenetics only found an isochromosome 17q (loss of TP 53), and no anomaly was shown by fluorescence in situ hybridization [no t(6;9) or t(9;.22)]. The patient progressed under mild therapy with 1 day of 8 mg/m 2 idarubicine and 5 days of 50 mg/m 2 cytarabine every month and was started on monochemotherapy based on 75 mg/m 2 subcutaneous azacytidine for 7 days every 28 days.This is a rare case of acute basophilic leukemia that is probably secondary to anthracycline-based chemotherapy.