l

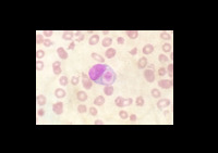
Platelet phagocytosis by a peripheral blood monocyte in a patient with haemophagocytic lymphohistiocytosis

Platelet phagocytosis by a peripheral blood monocyte in a patient with haemophagocytic lymphohistiocytosis
#00062302
Author: Manujasri Wimalachandra; Lallindra Gooneratne
Category: Macrophage/Histiocytic and dendritic cell Neoplasms and disorders (2015) > H group > Primary Hemophagocytic Lymphohistiocytosis
Published Date: 04/01/2019

A 65 year old woman who underwent an allogenic kidney transplant 2 years earlier presented with fever and shortness of breath for 5 days duration. On examination she was haemodynamically stable and had bilateral fine crepitations on auscultation. A diagnosis of Pneumocystis jeroveci pneumonia was made based on marked exercise induced desaturation and on chest X ray and high resolution computed tomography findings. Additional tests did not reveal any malignancies or infections, specifically Epstein Barr virus or cytomegalovirus were negative. Her condition progressively deteriorated with gradual development of pancytopenia. Clinical and blood count deterioration prompted a rapid tailing off of her immunosuppressants, tacrolimus and low dose prednisolone.  Microscopic evaluation of the peripheral smear revealed, features of ongoing infection, occational schiztocytes, acanthocytes and a monocyte phagocytosing a platelet. (Figure) The bone marrow aspirate also showed extensive haemophagocytosis.

Based on the findings of fever, hepatosplenomegaly, pancytopenia (haemoglobin concentration 83 g/l, platelet count 25 × 109/l,  neutropenia 0.9x109/l), and serum ferritin of 4500ng/L, a diagnosis of haemophagocytic lymphohistiocytosis (HLH) was made as she fulfilled five criteria from HLH-2004.

She deteriorated quickly and succumbed to an attack of gram-negative sepsis, prior to commencing chemo- immunotherapy for HLH.

 

HLH is a systemic inflammatory syndrome caused by a defect in regulatory pathways of inflammatory signaling that results in uncontrolled hypercytokinemia, secondary to either congenital or acquired defects in natural killer and/or T-cell function. Acquired HLH has been well documented in patients receiving immunosuppressive therapy after organ transplant.

Hemophagocytosis in the bone marrow, spleen, or lymph nodes is one of the diagnostic criteria for HLH. These infiltrates have also been documented in the liver, lung, central nervous system, meninges, skin and subcutaneous tissue. Peripheral blood monocyte phagocytosis is extremely rare, but has been demonstrated previously and has been suggested as a possible non invasive early marker of HLH (Hagiwera et al,2006).

References

Hagiwara, K., Sawanobori, M., Nakagawa, Y., Sato, T., Akiyama, O. and Takemura, T. (2006). Reactive hemophagocytic syndrome in a case of systemic lupus erythematosus that was diagnosed by detection of hemophagocytosing macrophages in peripheral blood smears. Modern rheumatology, 16(3),169-171.