l

A matter of staining? Bone marrow necrosis in young male patient

A matter of staining? Bone marrow necrosis in young male patient
#00062466
Author: Laura Dionisio; Gabriela Veloso V. S. Pinheiro; Everson Augusto Krum; José Koehler; Mariae de Faria Moss
Category: Reactive Marrow > Reactive changes > Necrosis
Published Date: 07/28/2019

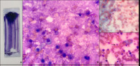
A 29-year-old man was hospitalized relating intense bone pain, night sweats, fever and loss of 12Kg since the beginning of the symptoms. Physical exam showed skin and mucosal pallor and abdominal diffuse pain. Computed tomography showed osteolytic bone lesions and some osteoblastic in all the thoracic and lumbar column, sternum, ribs, scapulae and clavicles. It also evidenced homogeneous hepatosplenomegaly. Magnetic resonance of lumbar and sacral column showed multiple expansive and infiltrative lesions. Blood cell count findings were hemoglobin 8.4g/dL, platelets 292x109/L, and white blood cells 6.47x109/L with normal differential count. Increased results of alkaline phosphatase 400 U/L, lactate dehydrogenase 693 U/L and beta-2-microglobulin 3.3 ug/mL. Serum immunofixation suggested a monoclonal protein IgG (lambda immunoglobulin light chain). Serology for HIV and hepatitis B and C were not reagent. Iliac bone marrow aspiration showed dark purple smears after May-Grünwald Giemsa staining. Microscopic evaluation revealed pyknotic cells (arrow) of difficult recognition and eosinophilic/necrotic background, making impossible the morphology analysis. Flow cytometry analysis was unviable because of the reduced cellular viability. Biopsy of bone lesion showed foci of necrosis and fibrosis. Bone marrow biopsy evidenced plasma cell dyscrasia. In this case, the lymphoid malignancy was related to osteonecrosis, which reflects the general ischemic state induced by malignant lymphoid cells, with high potential of proliferation. Bone marrow necrosis is rare clinical entity observed in a wide number of malignant and non-malignant hematological disturbs and its incidence reported in the literature is 0,3%. This condition is characterized by necrosis of hematopoiethic tissues and stroma, with preservation of cortical bone. The diagnosis is usually based on bone marrow biopsy and aspirate. Its physiopathology is not clearly understood, which contributes to the high complexity of the diagnosis.