l

Current WHO 2016 Classification of EBV+ T-cell and NK-cell Proliferations

Current WHO 2016 Classification of EBV+ T-cell and NK-cell Proliferations
#00062703
Author: Reva Goldberg; Girish Venkataraman, MD, MBBS
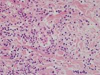
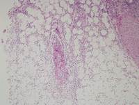
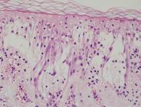
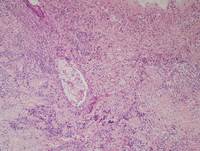
Category: Lymphoma: Mature T and NK cell lymphoproliferations > EBV+ T- and NK-cell lymphoproliferations > Chronic Active EBV Infection > Cutaneous Chronic Active EBV Infection > Hydroa Vacciniforme-like Lymphoproliferative Disorder
Published Date: 08/21/2019

See reference case "Hydroa vacciniforme-like lymphoproliferative disorder" for details.