Essential thrombocythemia

Author:  Elizabeth L. Courville, MD, 09/22/2015
Category: Myeloid Neoplasms and acute leukemia (WHO 2016) > Myeloproliferative Neoplasms (MPN) > Essential Thrombocythemia
Published Date: 05/05/2017

This is a 60 year old female with thrombocytosis for 2 years. A bone marrow biopsy is performed and revealed features typical of Essential Thrombocythemia (ET).

Diagnostic learning point: Most ET marrows are typically normocellular and abnormalities are restricted to the megakaryocytes as opposed to Polycythemia Vera marrows which show a hypercellular marrow with proliferation of all three lines with relative predominance of erythroid lineage.

Peripheral Blood Findings

The peripheral blood is notable for a marked thrombocytosis.

Essential-thrombocythemia-peripheral-smear--1
#00001221
 
Essential-thrombocythemia-peripheral-smear--2
#00001222
 
Essential-thrombocythemia-peripheral-smear--4
#00001224
 
Essential-thrombocythemia-peripheral-smear--5
#00001225
 
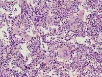
Trephine Core

The marrow is hypercellular for age with increased megakaryocytes. The megakaryocytes are dispersed throughout the marrow and include frequent large forms with abundant cytoplasm and deeply lobated nuclei. 

Significant maturation abnormalities are lacking.

Essential-thrombocythemia
#00060082
 
Essential-thrombocythemia
#00060081
 
Essential-thrombocythemia
#00060080
 
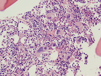
Aspirate

The atypical megakaryocytes are evident on the aspirate smear, including quite large forms with abundant cytoplasm, and deeply lobulated nuclei.

Essential-Thrombocythemia--2
#00002736
 
Essential-Thrombocythemia--4
#00002738