Mixed phenotype acute leukemia with t(9;22)(q34;q211.2); BCR-ABL

Author:  Elizabeth L. Courville, MD, 09/15/2015
Category: Myeloid Neoplasms and acute leukemia (WHO 2016) > Acute leukemias of ambiguous lineage > Mixed phenotype acute leukemia with t(9;22)(q34;q11.2); BCR-ABL1
Published Date: 02/25/2016

Mixed phenotype acute leukemia with t(9;22)(q34;q211.2); BCR-ABL.
By immunohistochemical stains performed on the trephine core, two blast populations were identified occurring in discrete zonal patterns. The first was positive for CD79a, CD20, CD22, Pax-5, CD34, and TdT. The second was positive for CD3, CD1a, CD7, and CD4, with weak, patchy expression of CD34 and TdT. By flow cytometry performed on the marrow, two distinct blast populations were identified: precursor B cell lineage comprising approximately 12% (CD10, CD20, CD22, CD79a, and TdT) and precursor T cell lineage comprising 68% (CD2, cytoplasmic CD3, CD4, CD5, CD7, CD8, CD1a, and TdT). Conventional cytogenetics revealed t(9;22)(q34;q11.2) and FISH demonstrated BCR/ABL1 fusion.

Peripheral Blood

The peripheral blood is notable for a marked leukocytosis (WBC 60), anemia (Hgb 8.6), and thrombocytopenia (Platelets 73). There are numerous blasts in the peripheral blood (72% on differential count) with a dimorphic morphology. One population is intermediate to large in size with a moderate amount of basophilic cytoplasm, slightly irregular nuclear contours, fine chromatin and nucleoli. The other population is small to intermediate in size with scant basophilic cytoplasm, indented nuclear contours, fine chromatin and indistinct nucleoli

No Image is attached in this Figure.
Marrow Aspirate

The marrow aspirate smear has 71% blasts by differential count, with a similar dimorphic morphology as in the peripheral blood,  with numerous blasts. One population is intermediate to large in size with a moderate amount of basophilic cytoplasm, slightly irregular nuclear contours, fine chromatin and nucleoli. The other population is small to intermediate in size with scant basophilic cytoplasm, indented nuclear contours, fine chromatin and indistinct nucleoli. 

No Image is attached in this Figure.
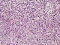
Marrow Biopsy

The trephine core is hypercellular with most of the cellularity composed of immature cells. 

Mixed-phenotype-acute-leukemia-with-t922q34q2112-BCRABL
#00060016
 
Mixed-phenotype-acute-leukemia-with-t922q34q2112-BCRABL-Aspirate
#00060015
 
Mixed-phenotype-acute-leukemia-with-t922q34q2112-BCRABL-Bone-Marrow--Biopsy
#00060014