Paroxysmal nocturnal hemoglobinuria (PNH)

Author:  Katherine Calvo, MD, PhD, 09/29/2015
Category: Bone marrow failure > Acquired Bone marrow failure > Paroxysmal Nocturnal Hemoglobinuria
Published Date: 02/25/2016

28 year old male with pancytopenia (WBC  3.3 K/uL, Hb 7.8 g/dL, Plt 34 K/uL, ANC 1.40 K/uL, ARC 145 K/uL). 

PNH Peripheral blood

28 year old male with pancytopenia (WBC  3.3 K/uL, Hb 7.8 g/dL, Plt 34 K/uL, ANC 1.40 K/uL, ARC 145 K/uL). Peripheral blood shows pancytopenia matching his counts. 

Paroxysmal-nocturnal-hemoglobinuria-PNH-Peripheral-smear
#00060124
 
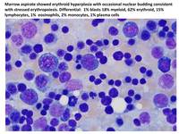
PNH Aspirate

Marrow aspirate showed erythroid hyperplasia with occasional nuclear budding consistent with stressed erythropoiesis. Differential:  1% blasts 18% myeloid, 62% erythroid, 15% lymphocytes, 1%  eosinophils, 2% monocytes, 1% plasma cells

Paroxysmal-nocturnal-hemoglobinuria--PNH-Aspirate
#00060122
 
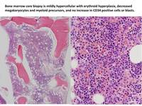
Marrow Core Biopsy

Bone marrow core biopsy is mildly hypercellular with erythroid hyperplasia, decreased megakaryocytes and myeloid precursors, and no increase in CD34 positive cells or blasts.

Paroxysmal-nocturnal-hemoglobinuria-PNHBiopsy
#00060123
 
Flow cytometry

Identification of large PNH clone by flow cytometry.

Granulocytes (red) in peripheral blood derived from PNH clone are

negative for GPI-linked proteins and FLAER.

Paroxysmal-nocturnal-hemoglobinuria-PNH-Flow-Cytometry
#00060121