Metastatic Neuroblastoma

Author:  Suzanne Vercauteren, MD, PhD, FRCPC, 09/30/2015
Category: Laboratory Hematology > Non-hematopoietic malignancies involving the blood or bone marrow
Published Date: 02/25/2016

2 year old girl was evaluated for decreased energy and limping gait. Abdominal ultrasound revealed a left kidney mass. 

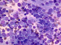
Marrow

Bone marrowexamination shows numerous clumps of metastatic tumor as well as neuropile. Vacuolization in the tumor cells is noted as well as rosetting. These findings are consistent with stage IV neuroblastoma.

Neuroblastoma-bone-marrow
#00060131
 
Neuroblastoma-bone-marrow
#00060130
 
Neuroblastoma-bone-marrow
#00060129
 
Neuroblastoma-bone-marrow
#00060128