Extramedullary Myeloid Tumor

Author:  Elizabeth L. Courville, MD, 09/15/2015
Category: Myeloid Neoplasms and acute leukemia (WHO 2016) > Myeloproliferative Neoplasms (MPN) > Chronic Myelogenous Leukemia (CML), BCR-ABL1+ > Blast phase > Extramedullary blast proliferation
Published Date: 05/06/2017

This is a 62 year old female with a chronic myeloid neoplasm presented with new skin lesions which were biopsied.

The images depict leukemic blasts with a myeloid immunophenotype supportive of cutaneous involvement by myeloid leukemia. In the setting of CML, this is considered as blastic transformation and treated as such.

Such extramedullary collection of myeloid cells can be seen in AML, MDS, CML as well as CMML wherein the constituent cells may be collection of blasts (AML and MDS), immature myeloid cells (CML) or immature monocytes or plasmacytoid dendritic cells (CMML)

In general, cases of NPM1-mutated AMLs are more likely to present as extramedullary myeloid tumors including leukemia cutis and cases with isolated Extramedullary presentation need to be worked up as cases with systemic disease involving blood and marrow.

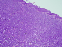
Skin biopsy of cutaneous lesion

The epidermis is intact. The dermis is replaced by sheets of medium-sized cells with a high nuclear to cytoplasmic ratio, nuclear irregularity, and distinct nucleoli. Mitotic and apoptotic figures are identifiable.  Note sparing of the thin 'Grenz zone' between the epidermis and papillary dermis. 

Myeloid-sarcoma
#00060023
 
Myeloid-sarcoma
#00060022
 
Immunohistochemical stain of the skin biopsy

By immunohistochemical stains, the neoplastic cells are positive for CD45 (shown here) supportive of a hematopoietic origin.

This case was additionally positive for CD4, CD33, lysozyme, and myeloperoxidase, all supportive of a myeloid/monocytic lineage and are negative for cytokeratin markers.

Cytoplasmic Localization of NPM1 IHC is also a useful  finding supportive of underlying NPM1 mutation in such cases.

Myeloid-sarcoma
#00060021