Acute myeloid leukemia with myelodysplasia related changes

Author:  Elizabeth L. Courville, MD; Gordana Raca, Ph D, 09/17/2015
Category: Myeloid Neoplasms and acute leukemia (WHO 2016) > Acute Myeloid Leukemia > AML with multilineage dysplasia
Published Date: 02/25/2016

73 year old female presenting with anemia, neutropenia,  and peripheral blasts.

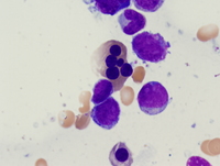
Peripheral Blood

The peripheral blood showed moderate normocytic anemia and a marked leukopenia with neutropenia.  Circulating blasts are present.  Also,  the  peripheral blood showed moderate normocytic anemia and a marked leukopenia with neutropenia.  

Acute-myeloid-leukemia-with-myelodysplasia-related-changes-PB
#00060039
 
Acute-myeloid-leukemia-with-myelodysplasia-related-changes-PB-2
#00060038
 
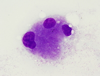
Bone Marrow Aspirate

There is background erythroid dysplasia including multinucleation. 

Megakaryocytes include frequent forms with separated nuclear lobes.  Both findings confirm the myelodysplastic changes.  

Acute-myeloid-leukemia-with-myelodysplasia-related-changesaspirate
#00060037
 
Acute-myeloid-leukemia-with-myelodysplasia-related-changesBM-aspirate
#00060036
 
Biopsy

Megakaryocytes include frequent forms with separated nuclear lobes are also seen on the biopsy.

Acute-myeloid-leukemia-with-myelodysplasia-related-changesBiopsy
#00060035
 
Flow cytometry

Flow cytometric immunophenotyping demonstrates increased blasts positive for CD13, CD33(dim), CD34, CD45(dim), CD117, HLA-DR, and myeloperoxidase (MPO

Acute-myeloid-leukemia-with-myelodysplasia-related-changes-flow
#00060034
 
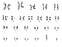
Cytogenetics

CYTOGENETICS with monosomy 7.  

Acute-myeloid-leukemia-with-myelodysplasia-related-changes
#00060033