Hydroa Vacciniforme-like Lymphoproliferative Disorder

Author:  Chan-Sik Park, MD; Girish Venkataraman, MD; Reva Goldberg, 10/23/2018
Category: Lymphoma: Mature T and NK cell lymphoproliferations > EBV+ T- and NK-cell lymphoproliferations > Chronic Active EBV Infection > Cutaneous Chronic Active EBV Infection > Hydroa Vacciniforme-like Lymphoproliferative Disorder
Published Date: 08/21/2019

The patient  is a thirty-two year old female with three-month history of high fevers which are intermittent. Examination demonstrated multiple erythematous papules on the face and scalp associated with pain, itching, crusting and scarring.

CBC indicated hemoglobin of 13.8 g/dL, white cell count of 18,800 /uL and normal platelet counts of 276,000 per microliter. Examination of the smear demonstrated 86.7% lymphocyte with only 11% neutrophils.

The findings of this case with numerous cytotoxic cells associated with EBV is in keeping with the diagnosis of hydro-vacciniforme-like LPD recognized to be part of the spectrum of cutaneous manifestation of chronic active EBV infection in the WHO 2016 which also includes 'severe mosquito bite allergy' in this spectrum. This condition presents primarily in children and is derived from T-cells with risk of progression to EBV+ NK/T-cell lymphoma.

Learning points:

  1. Proliferation of cytotoxic T-cells within lesion with abundant EBV+ cells.
  2. Often associated with expansion of gamma-delta T-cells in the blood.
Current WHO 2016 Classification of EBV+ T-cell and NK-cell Proliferations

The image below depicts the current 2016 WHO classification of EBV+ T-cell and NK-cell proliferations. 

Current-WHO-2016-Classification-of-EBV-Tcell-and-NKcell-Proliferations
#00062703
 
Figure 1: Clinical Images in Hydroa Vacciniforme-like Lymphoproliferative Disorder

Examination demonstrated multiple erythematous papules on the face and scalp associated with pain, itching, crusting and scarring.

Current-WHO-2016-Classification-of-EBV-Tcell-and-NKcell-Proliferations
#00061899
 
Current-Classification-WHO-2016-of-EBv-Tcell-and-NKcell-Proliferations
#00061898
 
HVLPDClinical
#00061897
 
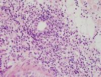
Figure 2: H&E in Hydroa Vacciniforme-like Lymphoproliferative Disorder

Features seen in the images below:

  1. Epidermal degeneration with spongiotic vesiculation
  2. Lymphoid infiltration in dermis and subcutaneous tissue
  3. Periadnexal and perivascular infiltration by small-to-medium sized neoplastic cells without significant atypia
Current-WHO-2016-Classification-of-EBV-Tcell-and-NKcell-Proliferations
#00061901
 
Current-Classification-WHO-2016-of-EBv-Tcell-and-NKcell-Proliferations
#00061902
 
HVLPDClinical
#00061903
 
HVLPDClinical
#00061904
 
Current-Classification-WHO-2016-of-EBv-Tcell-and-NKcell-Proliferations
#00061906
 
HVLPDClinical
#00061908
 
HVLPDClinical
#00061905
 
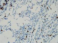
Figure 3: CD3, CD4, & CD8 in Hydroa Vacciniforme-like Lymphoproliferative Disorder

CD3 shows scattered T-cells comprising an admixture of CD4 and CD8 T-cells. Usually CD8 T-cells are more predominant.

Current-WHO-2016-Classification-of-EBV-Tcell-and-NKcell-Proliferations
#00061893
 
Current-Classification-WHO-2016-of-EBv-Tcell-and-NKcell-Proliferations
#00061894
 
HVLPDClinical
#00061895
 
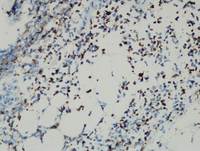
Figure 4: TCRB, KI-67 and TIA1 in Hydroa Vacciniforme-like Lymphoproliferative Disorder


TCRB stains shows scattered CD3+ T-cells while Ki-67 shows low proliferation and numerous cytotoxic cells are noted.

Current-WHO-2016-Classification-of-EBV-Tcell-and-NKcell-Proliferations
#00061911
 
Current-Classification-WHO-2016-of-EBv-Tcell-and-NKcell-Proliferations
#00061910
 
HVLPDClinical
#00061912
 
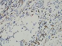
Figure 5: EBER in Hydroa Vacciniforme-like Lymphoproliferative Disorder

Numerous EBV+ cells are noted throughout. CD30 is often positive in the EBV infected cells. The EBV is usually in latency phase II and is EBV-LMP negative. The EBV is clonal by long terminal repeat analysis.

Current-WHO-2016-Classification-of-EBV-Tcell-and-NKcell-Proliferations
#00061900