MDS-RS-MLD in staging marrow for PCNSL

Author:  Girish Venkataraman, MD, MBBS; James Godfrey, MD; Daniel Arber, MD; Jeremy Segal, MD,PhD., 11/03/2018
Category: Myeloid Neoplasms and acute leukemia (WHO 2016) > Myelodysplastic Syndromes (MDS) > MDS with Ring Sideroblasts (MDS-RS) > MDS-RS with multilineage dysplasia
Published Date: 11/28/2018

This is an 83-yr-old man with past medical history of hypertension, hyperlipidemia and coronary artery disease as well as insulin-dependent diabetes mellitus, who presented for management of his newly diagnosed primary CNS diffuse large B-cell lymphoma. A staging bone marrow biopsy is performed. There is isolated macrocytic anemia.

COMPLETE BLOOD COUNT
         WBC                            4.9        [3.5-11.0]  K/uL
         RBC                           *2.34       [4.47-5.91] M/uL
         HEMOGLOBIN             *8.4        [13.5-17.5] g/dL
         HEMATOCRIT              *24.1       [41-53]     %
         MCV                          *103.0      [81-99]     fL
         MCH                           *35.9       [26-33]     pg
         MCHC                          34.9       [32-35]     g/dL
         RBC DIST WIDTH        *18.5       [<14.3]     %
         PLATELET COUNT        180        [150-450]   K/uL

The case below is typical for this entity Myelodysplastic syndrome with multilineage dysplasia and ring sideroblasts.

Learning points:

1. The new WHO 2016 indicates a change of terminology from RARS and RCMD-RS to MDS-RS and denoting of single or multilineage dysplasia as a suffix in the diagnostic line.

2. Cases with <5% ring sideroblasts can be included in this category when underlying SF3B1 mutations are demonstrable (present in this case).

FIgure 1: MRI CNSL lymphoma

MRI T2 axial image depicting bifrontal tumor involving corpus callosum.

PCNSLMRI
#00062006
 
Figure 2: Blood smear

Examination of the peripheral blood smear shows isolated macrocytic anemia. Examination of the white blood cells shows occasional hypogranular Pelgeroid dysplastic neutrophils (first two images) without circulating blasts or increased monocytes.

Red cells are notable for moderate to severe anisopoikilocytosis with microcytes, macrocytes, ovalocytes, target cells, basophilic stippling and occasional apoptotic nucleated red cells and atypical nucleated red cells (depicted).

Platelets are adequate on smear and morphologically normal.

MDSRSMLD-Blood
#00062014
 
MDSRSMLD-Blood
#00062015
 
MDSRSMLD-Blood
#00062016
 
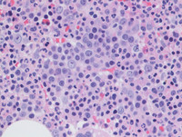
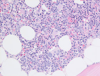
Figure 3: Marrow biopsy

Core biopsy is adequate for evaluation and is hypercellular for age with an estimated cellularity of 60% compressing scattered mostly normally megakaryocytes with very occasional dysplastic micromegakaryocytes with nuclear hypo-lobation and/or widely separated nuclei. There is preponderance of erythroid precursors (last image high power) which are maturing with intervening granulopoiesis including terminal segmented neutrophils and areas of abnormal localization of immature precursors (ALIP; third image bottom left). There is no morphologic evidence of lymphoma.

MDSRSMLDCore-biopsy
#00062010
 
MDSRSMLDCore-biopsy
#00062012
 
MDSRSMLDCore-biopsy
#00062011
 
MDSRSMLDCore-biopsy
#00062013
 
Figure 4: Marrow aspirate

Scattered dysplastic micromegakaryocytes with nuclear hypo-lobation and/or widely separated nuclei are noted.

MDSRSMLDAspirates
#00062008
 
Figure 5: Marrow aspirate

Dysplastic hypolobate granulocytes first image and granulocytes with abnormal chromatin clumping (yellow arrows in second image) and abnormal dysplastic erythroid precursors with internuclear bridging and nuclear irregularities (black arrow and red arrow respectively).

MDSRSMLDAspirates
#00062009
 
MDSRSMLDAspirates
#00062007
 
Figure 6: Aspirate iron (Prussian blue)

Iron stain shows abundant storage and sideroblastic iron with numerous ring sideroblasts accounting for 50% of erythroid precursors.

MDSRSMLDIron
#00062019
 
Figure 7: CD34 stain

CD34 immunostain highlights 3-4% blasts (right) with abnormal cytoplasmic staining in about 10% of megakaryocytes (image on left).

MDSRSMLDCD34-stain
#00062017
 
MDSRSMLDCD34-stain
#00062018
 
Molecular studies

Additional molecular studies (NGS) showed pathogenic SF3B1 c.2098A>G, p.K700E (NM_012433.3) mutations (VAF: 44%) in addition to two different TET2 as well as
DNMT3A mutations (VAF: 41%).
 

No Image is attached in this Figure.